PATIENTS
Before & Afters

Before

After
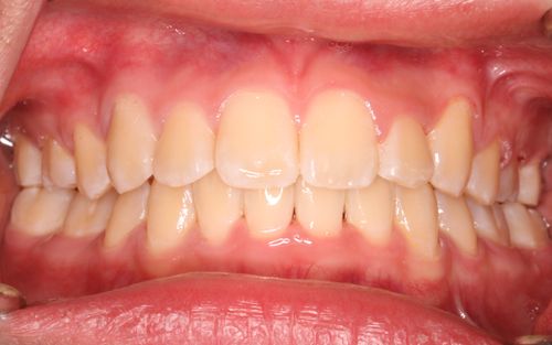
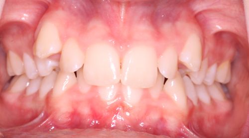
This patient didn’t like her crowded teeth. After extracting her retained baby teeth, we placed upper and lower braces to straighten her teeth over the course of 18 months.
.jpg)
Before
.jpg)
After
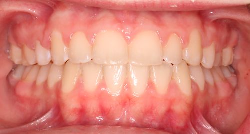
This patient was missing her left lateral incisors and had a very small right lateral incisors. They decided to substitute the canines into the lateral incisor position and it worked beautifully (by Dr Joseph O'Connor)
.jpg)
Before
.jpg)
After
This patient didn’t like her crowded teeth but had no space to fit them in. We removed 2 smaller teeth and managed to fit everything in nicely for a great result.
.jpg)
Before
.jpg)
After
This patient had a deep bite and crowded front teeth and was self-conscious with how they looked. We treatment with a Twin-Block and traditional braces in just over 24 months.

Before

After
.jpg)
Before
.jpg)
After
This patient had a narrow upper arch and quite a lot of crowding. We used a palatal expander to widen her smile and took two small teeth out for a beautiful result (by Dr Joseph O'Connor)
.jpg)
Before
.jpg)
After
This patient had an anterior open bite. This is often tricky to correct but we managed it with 20 months of fixed braces and taking out 3 small teeth (by Dr Joseph O'Connor)
.jpg)
Before
.jpg)
After
This patient was missing her lateral incisors. We substituted her canines into the lateral incisor position for a really great result (by Dr Joseph O'Connor)
.jpg)
Before
.jpg)
After
Another fantastic result with fixed braces without needing to take any teeth out (by Dr Joseph O'Connor)
.jpg)
Before
.jpg)
After
Another beautiful Twin Block case for a young man with a deep bite and a large overjet. The result speaks for itself. (by Dr Joseph O'Connor)
.jpg)
Before
.jpg)
After
This young man was self-conscious of his smile and felt his teeth were too crowded. After 18 months of fixed braces, he was delighted with his new smile (by Dr Joseph O'Connor)
.jpg)
Before
.jpg)
After
This patient was worried about protruding teeth and crowding of her lower teeth but we managed to correct it all in 18 months (by Dr Joseph O'Connor)
Begin Your Journey
Discuss your goals with one of our specialist orthodontists to find out what treatment option suits you best. We offer complimentary online consultations for all patients.




















